Welcome to Regal Dental Kare

Full Mouth Reconstructions

Home / Full Mouth Reconstructions

Full Mouth Reconstructions

Comprehensive Full Mouth Reconstructions for a Perfect Smile

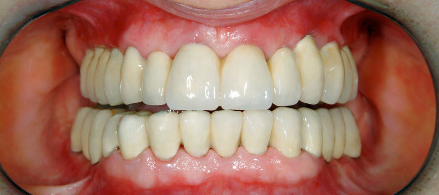
Full Mouth Reconstructions involves restoring or rebuilding all of the teeth in your mouth to improve function, aesthetics, and oral health. At Regal Dental Kare, Dr. Dannish Virrani combines advanced restorative, cosmetic, and prosthodontic techniques to design a healthy, balanced, and beautiful smile tailored to each patient.

Full Mouth Reconstructions Services We Provide:

Dental Crowns & Bridges for Restoring Teeth

Dental Implants for Missing Teeth

Full Mouth Prosthodontic Rehabilitation

Occlusal Adjustments for Bite Correction

Cosmetic Smile Enhancement with Veneers & Whitening

Why Patients Choose Regal Dental Kare for Full Mouth Reconstructions:

Customized Treatment Plans for Each Patient

Expert Prosthodontics Dr. Dannish Virrani Leading Your Care

State-of-the-Art Dental Technology

Restoration of Function, Comfort & Aesthetics

Pain-Free Procedures with Minimal Recovery Time

Long-Term Care & Maintenance Support

section Banner
Book An Appoinment